Charlas Científicas

Charlas Científicas

Manejo Quirúrgico de la Pseudoartrosis Congénita de Tibia y Peroné Mediante Método de Chanrley-Williams y Presentación de Modificación Mediante Clavo Telescópico de Fassier-Duval

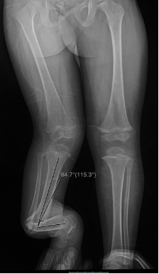
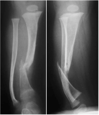
El tratamiento de la Pseudoartrosis Congénita de Tibia y Peroné (PCTyP) ha sido diverso. Todas las técnicas de tratamiento tienen una cuota de complicaciones, pero es la re-fractura y la falta de unión las principales consecuencias que se desean evitar. El objetivo de esta investigación se basa en analizar las técnicas quirúrgicas empleadas en nuestro centro y determinar los resultados. Se realizó un estudio retrospectivo, donde se estudiaron 11 pacientes con esta enfermedad con un seguimiento promedio de 4,73 años (DS±4,56). Todos los pacientes en quienes se utilizó la técnica de Charnley-Williams (CW) lograron la consolidación, la protección del clavo funcionó hasta que el extremo proximal de la tibia queda desprotegido al crecer el hueso y se produjeron angulaciones en esta zona, usualmente en la tibia proximal. Con el uso del clavo endomedular (EM) telescópico de Fassier-Duval (FD) se logra la protección de todo el hueso, inclusive durante el crecimiento. Se concluye que la técnica de CW es un buen método para la resolución de esta enfermedad y con el uso del clavo EM de FD se evita la refractura y se logra la unión permanente a medida que continúa el crecimiento del hueso. La discrepancia de los miembros inferiores es debida a la afectación de la tibia que compromete su crecimiento normal.

Leer más
Manejo Quirúrgico de la Pseudoartrosis Congénita de Tibia y Peroné Mediante Método de Chanrley-Williams y Presentación de Modificación Mediante Clavo Telescópico de Fassier-Duval

Testimonios de nuestros pacientes

Titulo..

Mensaje..

×


Aceptar


Aceptar